모바일 C-arm CT 기술 동향
Technical Trends in Mobile C-arm CT
- 저자
-
채승훈의료정보연구실 shoonchae@etri.re.kr 손기홍의료정보연구실 kihong@etri.re.kr 송윤선의료정보연구실 yssong@etri.re.kr
- 권호
- 40권 3호 (통권 214)
- 논문구분
- 산업과 사회를 변화시키는 디지털 융합기술 동향
- 페이지
- 53-62
- 발행일자
- 2025.06.02
- DOI
- 10.22648/ETRI.2025.J.400306
본 저작물은 공공누리 제4유형: 출처표시 + 상업적이용금지 + 변경금지 조건에 따라 이용할 수 있습니다.- 초록
- Since the discovery of X-rays, they have become an essential medical tool for the diagnosis and treatment of various conditions. Medical X-ray equipment allows visualization of the human body’s interior not only in 2D but also in 3D and is actively used not only for diagnosis but also throughout the treatment process. However, for patients who have difficulty moving within the hospital or those with limited time for transport, administering computed tomography (CT) scans can be challenging. Additionally, in operating rooms where complex medical equipment is installed, there is a need for devices that ensure sufficient operating space for surgeons. Mobile C-arm CT was developed to meet these needs and has now become an essential medical imaging device in fields such as cardiovascular and interventional procedures. This paper describes the characteristics and technological trends of mobile C-arm CT systems.
Share
Ⅰ. 서론
1895년 독일의 물리학자 Wilhelm Conrad Röntgen이 X-ray를 최초로 발견한 이후 100년 이상 의료 분야에서 골절, 폐질환, 종양, 감염 등을 진단하는 필수적인 의료 도구로 사용되었다. 의료 분야의 X-ray는 1970년대 Godfrey Hounsfield와 Allan Cormack에 의해서 CT(Computed Tomography)가 개발되면서 인체 내부를 3차원 영상으로 볼 수 있는 기술로 발전되었으며, 1990년대에는 디지털 방식의 X-ray 디텍터가 도입되어 더 선명한 영상을 얻을 수 있게 되었다. 초창기 CT 장비의 크기와 무게 때문에 고정된 장소에서만 사용되었으나, CT 기술의 발달로 소형화와 경량화가 점진적으로 이루어졌다.
1984년 Feldkamp, Davis, Kress가 제안한 FDK (Feldkamp Davis Kress) 알고리즘은 병렬 연산처리에 적합한 알고리즘으로 CT 영상 재구성 속도를 개선하였다. 2000년대에는 GPU의 발전으로 실시간 CT 재구성을 가능하게 하였다[1,2]. 이와 같이 병렬 연산처리에 최적화된 컴퓨터 기술과 디지털 영상처리 기술의 발전으로 CT 장비의 소형화가 가능해지면서 응급 의료상황이나 수술 환경에서도 사용이 가능한 모바일 형태로 발전하였다. 초기 모바일 CT는 트레일러나 차량에 설치된 형태로 개발되어 주로 군용이나 재난현장에서 활용되었다.
X-ray 촬영시스템 중 C-arm 시스템은 수술, 정형외과에서 사용할 수 있도록 이동 범위가 넓고, 복잡한 각도에서 촬영이 가능하도록 개발된 시스템이다. 다양한 각도에서 X-ray 촬영이 가능하기 때문에 다양한 자세로 환자를 촬영할 수 있으며, 수술실에서는 수술 부위를 동영상처럼 관찰하기 위한 투시 조영(Fluoroscopy) 등에 사용되고 있다.
C-arm CT 시스템은 평면 디텍터(FPD: Flat-Panel Detector)를 사용하기 때문에 한 번의 회전으로 CT 재구성에 필요한 영상을 촬영할 수 있는 CBCT (Cone Beam Computed Tomography) 시스템이다. CBCT가 갖는 고해상도와 MDCT(Multi Detector Computed Tomography)보다 낮은 방사선 선량의 장점이 있다[3]. 그리고 CBCT의 Collimator를 이용하여 관심영역(ROI: Region Of Interest)으로 X-ray를 제한하여 질병과 관심영역 기반으로 환자에게 최적의 FOV(Field Of View)를 선택할 수 있다[4].
C-arm CT 시스템은 특정 공간에 고정 설치되어 사용되었지만, 최근에는 모바일 C-arm 시스템과 CT 기술이 결합되어 다양한 환경에서 2차원 영상뿐만 아니라 3차원 영상을 획득할 수 있는 모바일 C-arm CT 시스템이 개발되었다.
모바일 C-arm CT 시스템은 휴대성과 접근성이 뛰어나 다양한 의료환경에서 사용되고 있으며, 실시간 CT 영상을 제공하여 수술 및 중재 시술(Interventional Procedure)에서 중요한 역할을 하고, 향후 정확한 진단과 치료에 기여할 수 있을 것으로 전망되고 있다.
본고에서는 이와 같이 다양한 환경에서 사용할 수 있는 모바일 C-arm CT 시스템의 기술 동향을 살펴보고, 향후 발전 방향에 대해 논의해 보고자 한다.
Ⅱ. 모바일 C-arm CT 시스템
1. 모바일 C-arm CT 시스템의 구성
C-arm CT 시스템은 C-arm 구조를 갖는 시스템을 이용하여 CT 영상을 획득하는 의료영상촬영장비로 주로 수술실, 중재 시술, 응급 의료환경에서 실시간으로 영상을 제공한다. 수술실과 응급 의료환경에서는 공간적 제약으로 고정된 CT 영상 촬영시스템을 설치할 수 없기 때문에 환자가 CT 촬영 공간으로 이동해야 하지만, 환자 이송 과정에서 발생할 수 있는 사고와 이동시간으로 인한 위험부담을 가지고 있다. 따라서 모바일 C-arm CT 시스템은 병원 내에서 환자가 이동하지 않고 CT 장비가 이동할 수 있도록 소형화와 이동성이 강조된 그림 1과 같은 형태로 발전하였다.
모바일 C-arm CT의 가장 큰 특징으로 “C” 모양의 갠트리를 가지고 있으며, X-ray 소스(Tube)와 평면 디텍터가 갠트리의 양 끝에 서로 마주 보고 설치되어 있다[5]. “C” 모양의 갠트리는 한 쪽이 개방되어 있기 때문에 수술대에 누워있는 환자가 움직이지 않고 수술대에서 바로 촬영이 가능하게 해준다. 또한, 갠트리 회전으로 발생되는 z축 회전(θ)뿐만 아니라 x, y축 회전(ϕ, ψ)이 가능하기 때문에 다양한 회전 방향으로 CT 촬영이 가능하다.
갠트리를 고정하고 있는 모바일 C-arm CT 시스템의 본체에는 이동을 위한 바퀴와 손잡이가 있으며, 이 이동 장치들은 방사선사가 모바일 C-arm CT 시스템을 이동시킬 수 있게 한다. 최근에는 전동모터가 적용되어 시스템의 이동성이 더욱 높아졌다. 모바일 C-arm CT 시스템은 병실, 수술실 등 환자가 위치한 다양한 공간으로 이동하며 CT를 촬영할 수 있다. 그리고 많은 수술 장비가 설치되어 있는 수술 공간에서는 모바일 C-arm CT 시스템으로 CT를 촬영 후 장비 이동시켜 공간 활용도를 높여준다.
2. 모바일 C-arm CT 활용 분야
모바일 C-arm CT 시스템은 신경외과나 정형외과에서 주로 사용되고 있으며, 조영제를 이용하여 미세한 신경 구조물까지 시각화하여 혈관조영술에 사용되고 있다. 그리고 내비게이션(Navigation) 시스템과 결합되어 척추 나사못(Pedicle Screw) 삽입 시 3차원 영상 가이드를 제공하는 기능으로 척추 수술(Spine Surgery) 분야에서 최소 침습적 척추 수술에 사용된다.
실시간으로 혈관을 3차원 영상으로 확인할 수 있는 기능을 이용하여 혈관 폐색 여부를 즉각 확인할 수 있기 때문에 스텐트(Stent) 삽입 및 혈관 조영 시 사용되고 있으며, 이동하기 어려운 환자를 위한 기존 CT의 대안으로 뇌출혈, 척추 손상 등 응급 진단에 활용된다.
Ⅲ. 모바일 C-arm CT 기술 동향
모바일 C-arm CT는 X-ray 이미징, CBCT 이미징과 작은 FOV로 인하여 발생되는 ROI 이미징 기술, 모바일 C-arm CT 시스템과 연동되는 내비게이션시스템 기술 등이 결합된 시스템이다. 다음에서는 모바일 C-arm CT 시스템에서 사용되는 필수 기술들을 소개한다.
1. 2D 이미징
모바일 C-arm CT 시스템에서 2D 이미징은 전통적인 2D 투시 기술을 실시간 가이드에 적용한 형태로, 심혈관 중재나 정형외과적 수술 등에서 표적 부위의 위치 정보를 간단히 제공하기에 적합하다[6]. 국내외 다양한 업체(Siemens, Philips, 제노레이 등)에서는 2D 이미징 품질을 극대화하기 위한 고급 영상 처리 알고리즘을 꾸준히 개발하고 있으며, 특히 저선량 촬영‧노이즈 제거, 에지‧대비(Contrast) 향상, 실시간 처리 성능 측면에서의 진보가 두드러진다.
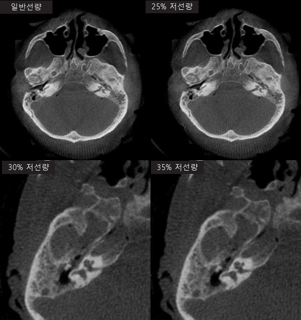
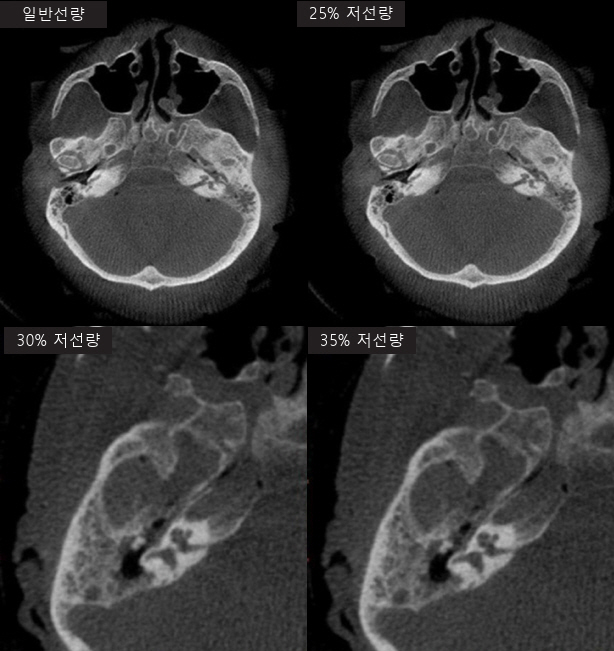
먼저, 그림 2와 같이 저선량 촬영과 노이즈 제거(Denoising)는 환자의 안전과 영상 품질 간의 균형을 맞추기 위한 핵심 영역이다. 방사선량을 줄이는 데는 X-ray 튜브에서 발생시키는 선량 자체를 제한하는 하드웨어적 접근뿐만 아니라 에지 보존필터나 BM3D(Block-Matching 3D), DnCNN(Denoising Convolutional Neural Network) 같은 고급 알고리즘을 사용하여 영상 품질을 유지‧향상시키는 소프트웨어적 접근이 함께 활용된다[7,8]. 특히 DnCNN은 다양한 임상 데이터를 학습해 노이즈를 효과적으로 억제함과 동시에 병변이나 혈관의 세부 구조를 보존하는 방향으로 발전하고 있어, 저선량 상황에서도 임상적으로 유의미한 선명도를 확보하는 데 기여하고 있다.
그림 2
C-arm X-ray 저선량 이미징 기술
출처 Reproduced from S. Ohlemeyer et al., “Cone beam CT imaging of the paranasal region with a multipurpose X-ray system-image quality and radiation exposure,” Appl. Sci., vol. 10, no. 17, 2020.

또한, 수술 현장에서 병변을 쉽게 구분하려면 에지를 뚜렷하게 하고 전체적인 대비를 높이는 후처리가 필수이다. 언샤프 마스킹(Unsharp Masking)과 라플라시안(Laplacian) 필터를 활용하면 영상 내 경계부를 강조할 수 있으며, 과도한 노이즈 증폭을 완화하기 위해 CLAHE(Contrast Limited Adaptive Histogram Equalization)와 같은 로컬 기반 히스토그램 평활화 기법이 자주 쓰인다. 이러한 에지와 대비 강화 알고리즘은 수술 중 투시 영상에서 작은 기구나 미세 병변을 식별하기 쉽게 만들어 시술 정확도를 높이지만, 노이즈가 동반될 위험이 있기 때문에 적절한 파라미터 튜닝과 알고리즘 조합이 중요하다.
마지막으로, 2D X-ray 영상이 실시간으로 갱신되어야 한다는 점도 임상 적용에서 매우 중요한 요소다. 최근에는 GPU 가속이나 고성능 임베디드시스템이 도입되면서, 고해상도 영상처리와 복잡한 알고리즘 적용을 동시에 실시간에 가깝게 수행할 수 있게 되었다. 특히 관상동맥 중재 시술이나 정형외과 수술 같은 상황에서는 투여되는 방사선량을 최소화하면서도, 시술 부위를 빠르게 식별하고 기구(예: 가이드 와이어, 스텐트, 임플란트 등)를 정확히 유도할 수 있어야 한다. 고속 영상처리 기술과 신뢰도 높은 필터‧노이즈 제거 알고리즘의 결합은 시술 안전성과 효율성을 높이는 데 직접적으로 기여하며, 향후 3D C-arm CT 기술과의 융합을 통해 더욱 정밀한 가이드 영상을 제공하는 기반이 될 것으로 예상된다.
2. 3D 이미징
3D 이미징 기술은 2D 이미징의 한계를 극복하기 위한 핵심 솔루션으로, CBCT 방식이 대표적이다. 이를 위해 C-arm을 다양한 각도로 회전시키며 획득한 2D 투영 데이터를 3차원 볼륨으로 재구성하는 데, 신경외과‧정형외과‧혈관 중재 시술 등 해부학적 구조 파악이 중요한 분야에서 폭넓게 활용되고 있다[9].
글로벌 시장에서는 Siemens와 Ziehm이 선도적 역할을 해왔다. Siemens는 2005년 Arcadis Orbic 3D를 출시했으나, 초기 모델은 작은 FOV와 상대적으로 낮은 해상도가 약점이었다. 이에 반해 Ziehm은 2008년 FPD 기반 장비를 선보이며 기존 방식의 단점을 보완했고, 특허받은 165° 회전+선형 이동 스캔 기법으로 비동심(Non-Isocentric) 구조의 각도 제약 문제를 해결해 시장 점유율을 높였다.
3D 영상 재구성의 핵심 알고리즘 측면에서는 전통적으로 FDK가 사용되어 왔으나, 투영 각도가 제한적일 경우 발생하는 아티팩트(Artifact) 문제가 지적되어 왔다. 이를 해결하기 위해 반복 재구성(IR: Iterative Reconstruction) 기법인 SIRT(Simultaneous Iterative Reconstruction Technique)나 ART(Algebraic Reconstruction Technique)가 도입되었고, 통계 기반 OSEM(Ordered Subsets Expectation Maximization) 같은 고도화된 기법도 사용된다[10]. 이러한 알고리즘들은 투영 데이터가 충분치 않더라도 점진적으로 영상 품질을 향상시킬 수 있어, 수술 실시간 가이드에 필요한 정밀도를 확보하는 데 기여한다.
최근에는 GPU 가속과 압축 센싱(CS: Compressed Sensing), 나아가 딥러닝을 결합한 재구성 방식이 빠르게 대두되면서, 소량의 투영 데이터만으로도 고해상도 3D 영상을 신속하게 복원할 수 있게 되었다. 그 결과, 과거 수분이 걸렸던 재구성 과정이 수 초 내외로 단축되었으며, 실시간 혹은 준실시간에 가까운 3D 수술 가이드가 가능해지고 있다. 이는 임상 현장에서 정확도와 안전성을 높이고 시술 시간을 단축하는 데 크게 기여하고 있다.
3. ROI 이미징
ROI 이미징은 CBCT 기반 영상에서 방사선 노출을 최소화하면서 진단 및 시술에 꼭 필요한 영역만 고해상도로 확인하고자 하는 접근 방식이다[11]. 이 방식은 전체 FOV를 모두 스캔하지 않고, 목표 부위만 집중적으로 투사‧재구성함으로써 주변 조직의 불필요한 방사선 노출을 줄이는 장점을 지닌다. 이를 구현하기 위해서는 Interior Tomography 개념을 적용하여 ROI 밖 투사 데이터를 생략하거나 저해상도로 취급하게 되는데, 이때 FOV에서 제외된 영역으로 인해 트렁케이션(Truncation) 아티팩트가 발생하기 쉽다. 그림 3과 같이 밝은 테두리(Bright-Rim) 현상 등 영상 왜곡이 생길 수 있으며, 그대로 FBP(Filtered Back Projection) 알고리즘을 적용할 경우 영상 품질이 크게 저하된다[12].
그림 3
C-arm ROI CT 이미지
출처 Reprinted with permission from K.H. Son et al., “CNN-based region-of-interest image reconstruction from truncated data in cone-beam CT,” in Proc. SPIE Med. Imag., (San Diego, CA, USA), vol. 12031, Mar. 2022, pp. 518-523.

이러한 문제를 해결하고자, 필터 최적화 및 TV (Total Variation) 기반 IR 기법이 제안되었으며, 최근에는 딥러닝을 접목한 복원 방식이 적극 연구되고 있다. 예를 들어, 트렁케이션으로 결손된 투사 정보를 보정하기 위해 U-Net, GAN 등 신경망 모델이 활용되는데, 영상 재구성 후 남는 아티팩트를 제거하거나 투영 단계에서 누락된 데이터를 학습된 방식으로 보완하는 전략이 대표적이다. 또한, CS와 IR 알고리즘을 결합해 잡음을 줄이면서 ROI 내부는 고해상도로 유지할 수 있게 되면서, 더욱 적은 투영 각도‧데이터량으로도 임상적으로 유의미한 영상 품질을 확보하게 되었다.
임상적으로는 뇌수술‧척추 수술‧혈관 중재 시술 등 특정 국소 부위만 정밀하게 살펴보면 되는 시나리오에서 ROI 이미징의 활용도가 높아지고 있다. 실제로 다양한 병원과 연구기관에서 방사선량 저감과 영상 품질 간의 균형을 맞추기 위해 필터‧IR‧AI 기반 보정 기법을 병행하여 트렁케이션 아티팩트를 최소화하고, ROI 영역에서 진단‧시술 정확도를 높이는 사례가 보고되고 있다. 궁극적으로는 CBCT가 적용되는 혈관조영, 방사선 치료, 수술 내비게이션 등 광범위한 분야에서 ROI 이미징이 방사선 피폭 선량을 낮추면서도 고대조도 영상을 제공하여, 안전성과 효율성을 향상시키는 핵심 기술로 자리 잡을 것으로 기대된다.
4. 기하보정
견고한 갠트리에 소스와 디텍터가 설치된 CT와 달리 모바일 C-arm CT 시스템은 아치형 형태의 갠트리를 사용하기 때문에 구조적으로 불안정한 형태를 가지고 있다. 그리고 다양한 각도에서 X-ray 영상을 촬영하여 CT로 재구성하기 때문에 촬영 시 소스와 디텍터의 투영 기하구조가 변형되어 기하학적 오차가 발생할 수 있다. 기하학적 오차는 CT 영상 화질에 영향을 주기 때문에 기하학적 오차를 보정하는 과정이 필수적이다[13].
모바일 C-arm CT는 기하학적 오차를 줄이기 위하여 그림 4와 같은 형태를 갖는 GCP(Geometry Calibration Phantom)를 이용하여 주기적으로 기하학적 정보를 보정해야 한다. GCP에 부착된 금속 비드(Bead)의 3차원 좌표를 사전에 측정한 후 팬텀을 촬영한 X-ray 투영영상의 비드와 비교를 통해 촬영 기하학적 정보를 계산한다.
GCP를 이용하여 얻어진 정보는 3차원 공간 좌표(x, y, z)와 2차원 투영영상의 좌표(u, v) 간의 역투영 관계를 정확하게 제공하여 그림 5와 같이 정확한 CT 영상 재구성을 할 수 있게 한다.
최근에는 모바일 C-arm CT 구조상 발생하는 불규칙한 흔들림을 실시간으로 보정하기 위하여 투영 영상과 AI를 이용하여 실시간 기하보정 연구가 진행되고 있다[14-16].
5. 노이즈 제거 기술
수술이나 중재 시술 중 CBCT를 촬영할 때 환자와 의료진 모두의 방사선 노출량을 최소화하기 위해 필수적인 선량만을 선별하여 조사하는데, 낮은 방사선량으로 인해 노이즈가 발생하고, 이는 영상의 품질에 영향을 미친다. 이를 해결하기 위해 다양한 노이즈 제거 방법이 개발되었다.
전통적으로는 영상에서 고주파 성분을 제거하기 위해 가우시안 필터나 메디안 필터를 사용함으로써 영상을 부드럽게 만드는 방법이 사용되었고, 웨이브렛 변환을 통해 영상을 여러 주파수 대역으로 분해하여 노이즈와 신호를 분리함으로써 다양한 스케일에서 노이즈를 처리하여 최적화된 결과를 얻을 수 있었다[17]. 영상의 움직임을 감지하여, 움직임에 따라 노이즈 필터를 적용함으로써 잔상을 최소화하는 디지털 노이즈 감소 기법을 CBCT 이미징에 적용하여 수술 중 움직임이 있는 영역과 없는 영역을 픽셀 단위로 실시간 감지하여, 각 영역에 적합한 노이즈 필터를 적용하는 실시간 노이즈 감소(RNR: Real-time Noise Reduction) 기법이 개발되어 국내 제품[18]에 적용되기도 하였다.
최근에는 딥러닝 기반 노이즈 제거 기술이 많이 사용되고 있는데, 데이터셋을 통해 노이즈 패턴을 학습하고, 이를 바탕으로 새로운 영상에서 노이즈를 제거하되, 중요한 해부학적 정보를 유지하도록 하는 것이 중요하다. CNN(Convolutional Neural Network) 모델을 사용하여 노이즈를 제거하거나, AutoEncoder나 UNet과 같은 생성형 모델에 GAN (Generative Adversarial Network) 모델을 도입하는 등 다양한 방법이 연구되고 있다[19,20].
6. 금속 아티팩트 감소 기술
금속은 X-ray를 차단하기 때문에 금속이 포함된 신체 부위나 의료기기(임플란트, 보철물 등) 주변에서 X-ray가 통과하지 못하거나, 왜곡되어 CT 영상에서 그림자처럼 보이거나 불투명한 영역이 나타난다. 이러한 현상은 대개 고에너지 방사선을 사용할 때 더욱 뚜렷하게 나타나고, 이로 인해 CT 영상의 정확성을 저하시켜 진단에 방해가 될 수 있다. 특히, 척추 수술 시 많이 사용되는 모바일 C-arm CT는 수술 도구, 나사못 등이 같이 촬영되기 때문에 금속 아티팩트가 자주 발생된다. 이러한 왜곡을 감소시켜 더 정확한 영상을 제공하고자 금속 아티팩트 감소 기술(MAR: Metal Artifact Reduction)이 개발되었다.
1980년대 후반에 투영 데이터 보간법이 처음 도입되고, IR 알고리즘이 효과적으로 사용되었다. 두 가지 에너지 대역의 X-ray 선원(Dual Energy)을 이용하면 물질의 투과 감쇄가 달라짐을 이용하여, 물질을 분별하거나, 감쇄 에너지를 선택적으로 재구성하여 금속 아티팩트가 감소된 CT 영상을 얻을 수 있게 되었다[21].
최근에는 다양한 딥러닝 모델을 사용한 MAR 방법이 많이 연구되고 있다[22]. 기존의 CT 영상에서 금속 아티팩트가 포함된 부분과 그렇지 않은 영상 데이터를 학습시켜서 금속 아티팩트로 인한 왜곡을 제거하고 복원하는데 국소적인 특징을 잘 처리할 수 있는 CNN 모델을 사용하거나, GAN 모델을 기반으로 하여 비지도학습을 적용하는 등 다양한 방법들이 제시되고 있다[23-25].
7. 내비게이션 기술
내비게이션 기술이란 C-arm CT의 투시 조영 검사 기능을 사용하여, 생체 조직검사[26]나 카테터 삽입, 스텐트 삽입, 혈관조영술과 같은 시술 중에 실시간으로 3D 영상을 제공하고 의료 도구의 위치를 추적하고 표시함으로써 더욱 빠르고 정확한 시술을 가능하게 하는 기술이다.
C-arm CT 기반 내비게이션 기술을 사용하면, 시술 시 정확도가 향상되고 시술 시간이 단축되는 장점이 있고, 기존 CT 기반 내비게이션 기술에 비해 환자와 의료진에게 노출되는 방사선량이 적다. 하지만, 방사선에 노출되면 피부와 조직에 화상을 입거나 발암 원인이 될 수 있으므로, 방사선 조사량을 최소화하는 노력이 필요하다[27].
Ⅳ. 모바일 C-arm CT의 발전 방향
모바일 C-arm CT에서 3D 이미징과 ROI 이미징 기술은 방사선량 절감과 영상 품질 향상이라는 공통된 목표 아래 상호 보완적으로 발전하고 있다. 먼저 3D 이미징 측면에서는 딥러닝 기반 세그먼테이션, 정합, 라벨링 기법을 통해 수술 중 실시간으로 관심 구조물을 식별하고, 저선량 스캔에서도 고품질 영상을 확보하기 위한 보정이 이루어진다. 특히, AI 전용 칩셋(GPU, TPU 등)의 연산 성능이 급격히 향상됨에 따라 과거 수 초 이상 소요되던 재구성 작업이 거의 실시간에 가까운 속도로 처리될 것으로 기대된다. 이러한 고속‧고정밀 3D 재구성은 수술 중 필요한 영상을 신속하게 제공해 환자 안전성과 진단‧시술 효율을 모두 높일 수 있다. 또한, AI는 환자별 해부학적 정보를 분석해 최소 방사선량으로 최적의 화질을 얻을 수 있는 스캔 프로토콜을 자동으로 추천‧설정함으로써 불필요한 방사선 노출을 줄이고 의료 자원도 효율적으로 사용할 수 있게 한다.
한편, ROI 이미징 분야에서는 영상 내 특정 부위를 높은 해상도로 획득하면서도 전체 방사선량을 줄이기 위해 AI 기반 객체 탐지 알고리즘(YOLO, Faster R-CNN 등)이 적용된다. 수술 중에 환자나 기구가 움직이거나 병변 위치가 변동될 경우, 중요한 장기‧병변‧혈관 등을 자동으로 추적해 필요한 구역만 고해상도로 획득함으로써 환자 노출을 최소화한다. 이때 제한된 투영 각도나 시야로 인해 발생하는 트렁케이션 문제를 해결하기 위해 초해상도(Super-Resolution) 네트워크나 CycleGAN과 같은 생성 모델이 도입되어 영상 왜곡이나 손실된 영역을 보정한다[28]. 더욱이, AI가 실시간으로 병변 변화나 해부학적 구조 변화를 감지하여 즉시 ROI를 재설정(Adaptive ROI)하는 기술까지 연구되고 있어, 향후에는 시술 과정 전반에서 초고해상도 영상을 지속적으로 확보할 수 있을 것으로 전망된다.
결국 이 두 기술은 ‘저선량‧고해상도’를 목표로 하는 의료 영상 분야에서 서로 긴밀히 연동될 가능성이 크다. 예를 들어, 수술 현장에서 3D 이미징으로 전신 혹은 광범위 구조 정보를 빠르게 얻은 뒤, AI가 자동으로 ROI를 설정해 초고해상도 정보를 집중적으로 획득하는 방식으로 프로세스를 최적화할 수 있다. 이는 방사선 안전성, 시술 정확도, 자원 효율성 모두를 만족시키는 방향으로 의료 영상 기술이 진화하고 있음을 보여주며, 향후 GPU‧TPU 같은 고성능 하드웨어, 딥러닝 알고리즘, 임상 병리 데이터가 결합되어 보다 정교하고 실시간에 가까운 영상 획득 환경이 마련될 것으로 기대된다.
Ⅴ. 결론
본고에서는 의료영상장비 중 하나인 모바일 C-arm CT 시스템의 기술 동향을 살펴보았다. 이동이 가능한 모바일 C-arm CT는 환자의 위치에서 실시간으로 CT 영상을 얻을 수 있고, 공간 활용성을 높일 수 있어 응급과 수술 등 다양한 분야에 적용할 수 있는 장비이다.
현재, 신경외과, 정형외과, 심혈관 분야에서 치료 목적으로 사용되고 있으며, 최근 발달하는 인공지능 기술들을 이용하여 CT 영상의 화질이 빠르게 개선되고 있어 다양한 진단 분야에 활용될 것으로 기대된다.
용어해설
중재 시술 실시간 투시영상 획득 기술을 바탕으로, 영상유도하에서 의료 도구를 체내에 삽입하여 질병을 치료하는 의학 분야
Phantom 실제 인체를 모방하여 만든 모형으로 의료영상장비의 성능 평가, 품질관리, 보정, 교육 및 연구 목적으로 사용되는 물체
Geometry X-ray 소스와 디텍터, 환자 간의 거리와 회전 정보와 같은 상대적인 공간의 위치 정보
ROI 사용자가 분석하거나 처리를 집중하고 싶은 특정 영역을 의미
약어 정리
ART
Algebraic Reconstruction Technique
BM3D
Block Matching 3D
CBCT
Cone Beam Computed Tomography
CLAHE
Contrast Limited Adaptive Histogram Equalization
CNN
Convolutional Neural Network
CS
Compressed Sensing
CT
Computed Tomography
DnCNN
Denoising Convolutional Neural Network
FBP
Filtered Back Projection
FDK
Feldkamp Davis Kress
FPD
Flat Panel Detector
GAN
Generative Adversarial Network
GCP
Geometry Calibration Phantom
IR
Iterative Reconstruction
MAR
Metal Artifact Reduction
MDCT
Multi Detector Computed Tomography
OSEM
Ordered Subsets Expectation Maximization
ROI
Region Of Interest
SIRT
Simultaneous Iterative Reconstruction Technique
TV
Total Variation
M. Posadzy et al., "Cone beam CT of the musculoskeletal system: Clinical applications," Insights Imaging, vol. 9, 2018, pp. 35-45.
C.S. William and G.F. Allan, "What is cone-beam CT and how does it work?," Dent. Clin. North Am., vol. 52, no. 4, 2008, pp. 707-730.
J.H. Siewerdsen et al., "Volume CT with a flat-panel detector on a mobile, isocentric C-arm: Pre-clinical investigation in guidance of minimally invasive surgery," Med. Phys., vol. 32, no. 1, 2005, pp. 241-254.
S. Ohlemeyer et al., "Cone beam CT imaging of the paranasal region with a multipurpose X-ray system-image quality and radiation exposure," Appl. Sci., vol. 10, no. 17, 2020.
A.N. Alnuaimy et al., "BM3D denoising algorithms for medical image," in Proc. Conf. Open Innovations Assoc. (FRUCT), (Tampere, Finland), Apr. 2024, pp. 135-141.
R.C. Orth et al., "C-arm cone-beam CT: General principles and technical considerations for use in interventional radiology," J. Vasc. Interv. Radiol., vol. 19, no. 6, 2008, pp. 814-820.
R.S. Thakur et al., Digital image enhancement and reconstruction, Academic Press, 2023, pp. 115-138.
A.S. Wang et al., "Soft-tissue imaging in low-dose, C-arm cone-beam CT using statistical image reconstruction," in Proc. SPIE Med. Imag., (Orlando, FL, USA), vol. 8668, Mar. 2013, pp. 369-375.
Z.S. Kevin et al., "A review of deep learning in medical imaging: Imaging traits, technology trends, case studies with progress highlights, and future promises," Proc. IEEE, vol. 109, no. 5, 2021, pp. 820-838.
K.H. Son et al., "CNN-based region-of-interest image reconstruction from truncated data in cone-beam CT," in Proc. SPIE Med. Imag., (San Diego, CA, USA), vol. 12031, Mar. 2022, pp. 518-523.
M.J. Daly et al., "Geometric calibration of a mobile C-arm for intraoperative cone-beam CT," Med. Phys., vol. 35, no. 5, 2008, pp. 2124-2136.
S.H. Chae et al., "Geometric calibration of a computed laminography system for high-magnification non-destructive test imaging," ETRI J., vol. 44, no. 5, 2022, pp. 816-825.
Y. Yin et al., "CBCT image denoising based on multi-scale wavelet transform," in Proc. Int. Conf. Biomed. Eng. Inform., (Yantai, China), vol. 1, Oct. 2010, pp. 150-153.
K. Zhang et al., "Beyond a gaussian denoiser: Residual learning of deep CNN for image denoising," IEEE Trans. Image Process., vol. 26, no. 7, 2017, pp. 3142-3155.
L. Yang et al., "High-frequency sensitive generative adversarial network for low-dose CT image denoising," IEEE Access, vol. 8, 2020, pp. 930-943.
C.L. Brown et al., "Dual-energy CT iodine overlay technique for characterization of renal masses as cyst or solid: A phantom feasibility study," Eur. Radiol., vol. 19, no. 5, 2009, pp. 1289-1295.
R. Ren et al., "Machine learning in dental, oral and craniofacial imaging: A review of recent progress," PeerJ, vol. 9:e311451, 2021.
Y. Zhang et al., "Convolutional neural network based metal artifact reduction in X-ray computed tomography," IEEE Trans. Med. Imaging, vol. 37, no. 6, 2018, pp. 1370-1381.
X. Huang et al., "Metal artifact reduction on cervical CT images by deep residual learning," BioMed. Eng. Online, vol. 17, no. 175, 2018.
J.H. Lee et al., "Unsupervised CT metal artifact learning using attention-guided β-CycleGAN," IEEE Trans. Med. Imaging, vol. 40, no. 12, 2021, pp. 3932-3944.
L. Yang, "C-arm cone-beam CT virtual navigation versus conventional CT guidance in the transthoracic lung biopsy: A case-control study," Diagnostics, vol. 12, no. 1, 2022.
그림 2
C-arm X-ray 저선량 이미징 기술
출처 Reproduced from S. Ohlemeyer et al., “Cone beam CT imaging of the paranasal region with a multipurpose X-ray system-image quality and radiation exposure,” Appl. Sci., vol. 10, no. 17, 2020.

- Sign Up
- 전자통신동향분석 이메일 전자저널 구독을 원하시는 경우 정확한 이메일 주소를 입력하시기 바랍니다.






